Ticker

6/recent/ticker-posts

Nephritic syndrome| Pathogenesis| Morphology| Clinical Courses

Nephritic syndrome

Pathology of Nephritic syndrome: Glomerular diseases presenting with a nephritic syndrome are often characterized by inflammation in the glomeruli. The nephritic patient usually presents with hematuria, red cell casts in the urine, azotemia, oliguria, and mild to moderate hypertension. Proteinuria and edema are common, but these are not as severe as those encountered in the nephrotic syndrome.

Types

  • Acute Proliferative Glomerulonephritis
  • Rapidly Progressive (Crescentic) Glomerulonephritis

 Acute Proliferative Glomerulonephritis

This is characterized histologically by diffuse proliferation of glomerular cells associated with influx (exudation) of leukocytes. These lesions are typically caused by immune complexes. The inciting antigen may be exogenous or endogenous.

Types

  • Poststreptococcal Glomerulonephritis
  • Nonstreptococcal Acute Glomerulonephritis (Postinfectious Glomerulonephritis)

 Poststreptococcal Glomerulonephritis

 This is a prototypical glomerular disease of immune complex etiology. It usually appears 1 to 4 weeks after a streptococcal infection of the pharynx or skin (impetigo). Skin infections are commonly associated with overcrowding and poor hygiene. Poststreptococcal glomerulonephritis occurs most frequently in children 6 to 10 years of age, but children and adults of any age can also be affected.

 Role of Streptococcus



Pathogenesis

Nephritic syndrome, glomerular disease

The evidence cited in support are as under:

  • Epidemiological evidence of preceding streptococcal sore throat or skin infection about 1-2 weeks prior to infection.
  • Latent period between streptococcal infection and onset of clinical manifestations of disease is compatible with period required for building antibodies.
  • Elevated titers of antibodies against streptococcal antigens:
  • Anti- Streptolysin O
  • Anti-Deoxyribonuclease B
  • Anti-Streptokinase

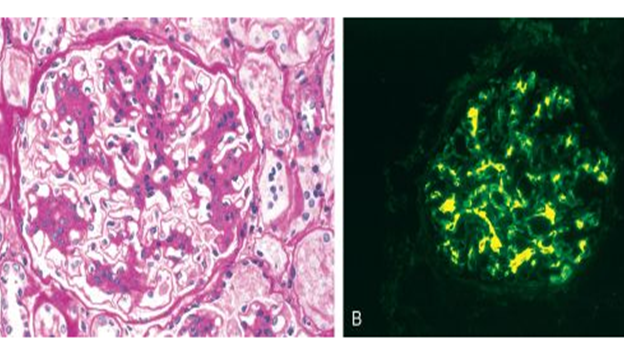
Morphology

Nephritic syndrome, Glomerular Disease

  • Light Microscopy Findings;
    • The glomeruli are affected diffusely enlarged and hypercellular.
    • The diffuse hyper cellularity of the tuft is due to proliferation of mesangial, endothelial and occasionally epithelial cells (acute proliferative lesions) as well as by infiltration of leucocytes, chiefly polymorphs and sometimes monocytes (acute exudative lesion).
    • There may be small deposits of fibrin within the capillary lumen and in the mesangium
    • Tubules: Tubular changes are not very striking. There may be swelling and hyaline droplets in tubular cells, and tubular lumen may contain red cell casts.
    • Interstitium: There may be some degree of interstitial edema and leucocytic infiltration.
    • Vessels: Changes in arteries and arterioles are seldom present in acute GN
  • Electron microscopic findings, besides confirming the light microscopic findings, demonstrate the characteristic electron-dense irregular deposits (‘humps’) on the epithelial side of the GBM. These deposits represent the immune complexes
  • Immunofluorescence microscopy reveals that the granular deposits along the GBM and mesangium consist principally of IgG and complement C3.

Clinical Courses 

  • In children abrupt development of malaise fever nausea after 1-2 weeks of streptococcal infection
  • Hematuria: appearance of red cells or red cells casts through urine (cola like urine) is the classical feature.
  • Proteinuria: mild less than 1 gm/day and nonselective.
  • Periorbital edema: due to decrease in oncotic pressure by proteinuria
  • Oligouria: variable and reflect the severity of glomerular involvement. It is passage of low volume of urine (<500 ml per day)
  • Hypertension: Mild to moderate

Nonstreptococcal Acute Glomerulonephritis (Postinfectious Glomerulonephritis)

A similar form of glomerulonephritis occurs sporadically in association with other infections, including those of bacterial (e.g., staphylococcal endocarditis, pneumococcal pneumonia, and meningococcemia), viral (e.g., hepatitis B, hepatitis C, mumps, HIV infection, varicella, and infectious mononucleosis), and parasitic (malaria, toxoplasmosis) origin. In these settings, granular immunofluorescent deposits and subepithelial humps characteristic of immune complex nephritis are present. Postinfectious glomerulonephritis due to staphylococcal infections differs by sometimes producing immune deposits containing IgA rather than IgG.

Rapidly Progressive (Crescentic) Glomerulonephritis

Rapidly progressive glomerulonephritis (RPGN) is a syndrome associated with severe glomerular injury, but does not denote a specific etiologic form of glomerulonephritis. It is characterized by rapid and progressive loss of renal function associated with severe oliguria and signs of nephritic syndrome; if untreated, death from renal failure occurs within weeks to months.

A practical classification divides RPGN into three groups on the basis of immunologic findings;

Type I (Anti-GBM Antibody)

  • Renal limited
  • Goodpasture syndrome

 Type II (Immune Complex)

  • Idiopathic
  • Postinfectious glomerulonephritis
  • Lupus nephritis
  • Henoch-Schönlein purpura
  • IgA nephropathy

 Type III (Pauci-Immune)

  • ANCA-associated
  • Idiopathic
  • Granulomatosis with polyangiitis (formerly Wegener granulomatosis)
  • Microscopic polyangiitis

 Morphology

  • Gross:  kidneys are enlarged and pale, with petechial hemorrhages on the cortical surfaces.
  • Glomeruli: segmental necrosis and GBM breaks- proliferation of the parietal epithelial cells - Crescents (>50%)
  •  formed by proliferation of parietal cells and by migration of monocytes/macrophages into Bowman's space
  •  uninvolved portion shows no proliferation.
  • IF: strong linear staining of deposited IgG and C3 along the GBM
  •  Deposits are not visualized by EM, because the endogenous collagen IV antigen to which the antibody is reacting is diffusely distributed
  • EM: distinct ruptures in the GBM.
  • Crescents eventually obliterate Bowman's space and compress the glomeruli.
  • Fibrin strands are prominent between the cellular layers in the crescents.
  • In time, crescents may undergo scarring.
Nephritic syndrome, Glomerular Diseases

 

Clinical Course

  • Hematuria with RBC casts in the urine
  • moderate proteinuria, and
  • variable HTN and edema.
  • In Goodpasture syndrome: recurrent hemoptysis or even life-threatening pulmonary hemorrhage.
  • Serum analyses for anti-GBM antibodies, ANA , and ANCAs are helpful in the diagnosis of specific subtypes. 

IgA Nephropathy (Berger Disease)

  • It usually affects children and young adults
  • one of the most common causes of recurrent microscopic or gross hematuria
  • The pathogenic hallmark is the deposition of IgA in the mesangium.
  • It is a systemic syndrome involving the skin (purpuric rash), GIT (abdominal pain), joints and kidneys.

Pathogenesis

 GIT or upper respiratory infection

¯

After (1-2) weeks

¯

Excess immunoglobulin A level in serum

¯

Immunoglobulin A deposition in mesangium of

kidney resulting complement activation

¯  

Mesangial cell and matrix proliferation

¯

Segmental glomerular injury

Morphology

  • Glomeruli: normal or may show mesangial widening and segmental inflammation confined to some glomeruli (focal proliferative GN);
  • diffuse mesangial proliferation (mesangioproliferative)
  • rarely overt crescentic GN.
  • IF: mesangial deposition of IgA, often with C3 and properdin and smaller amounts of IgG or IgM
  • EM: electron-dense deposits in the mesangium. 
Nephritic syndrome, glomerular diseases, IgA Nephropathy (Berger Disease)

Clinical Course

  • most often affects children and young adults.
  • gross hematuria - within 1 or 2 days of URTI/GIT/UTI.
  • 30% to 40% - microscopic hematuria, with or without proteinuria; and
  • 5% to 10% develop a typical acute nephritic syndrome.
  • hematuria lasts several days and then subsides, recur every few months.
  • often associated with loin pain.
  • Slow progression to CRF occurs in 25% - 50% of cases during a period of 20 years. 

Share this note https://learnmed8.blogspot.com/2020/09/nephritic-syndrome.html to your colleagues. If you have any inquiry comment below. Thank you

Post a Comment

0 Comments

Electrocardiogram| ECG| Why ECG done| ECG Leads| Einthoven's triangle| Procedure